

AI嵌入至“智能预约”、“技师扫描”、 “图像后处理”、“质量控制”、“智能扫描”、“随访观察”和“结构化报告”等多个环节,大幅度提高了工作效率,减轻了医生工作负荷。
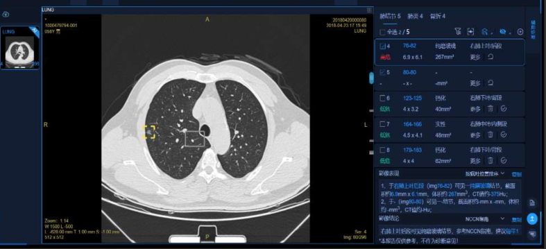
CT肺结节智能筛查系统使用人工智能技术,提供结节自动检测、测量、结构化报告和随访建议等全面结节诊断功能,也为临床影像诊断提供更丰富的决策信息,诊断准确性均为业内领先水平。
在高疲惫、急诊断的情况下,尤其是在手、足的众多关节中找准骨折部位,提高骨折筛查的准确率降低漏诊,否则延迟治疗时间,影响愈后及功能恢复,减少医患矛盾。
在放射科、体检中心、影像中心,患者做完CT平扫之后,本产品可额外提供骨质疏松的诊断,通过人工智能深度学习方法,医生可根据诊断结果建议患者进行相应的临床治疗。
支持区域内多家医院数据共享,助力区域数据互联互通互认。可按医生分配不同的区域数据权限。实现区域数据影像、报告的质控。实现患者在区域内历史影像随访对比。发起多院区、学科音视频会诊。
在体检或门诊场景中,基于胸部CT影像,可快速检测多发急性肋骨骨折,也可以在那些无明显疼痛症状的病人CT中找到偶发病灶,减少未来病情恶化的可能性。



